

Imagine a story where your smile takes center stage, and the protagonist is the world of modern dentistry in Hungary. This unfolds for folks in the United States, dreaming of a radiant grin without breaking the bank. Hungary, especially Budapest with beautiful landscapes and state-of-the-art dental clinics. This city becomes the backdrop for a journey into dental aesthetics, where magic comes in the form of porcelain E-max and zirconium veneers.
Let’s step into this easygoing story, exploring the charm of Hungary for dental veneers, including the cost-friendly narrative and those perfect moments when veneers work their wonders. By the way Budapest is not only the capital of Hungary but also of dental tourism.

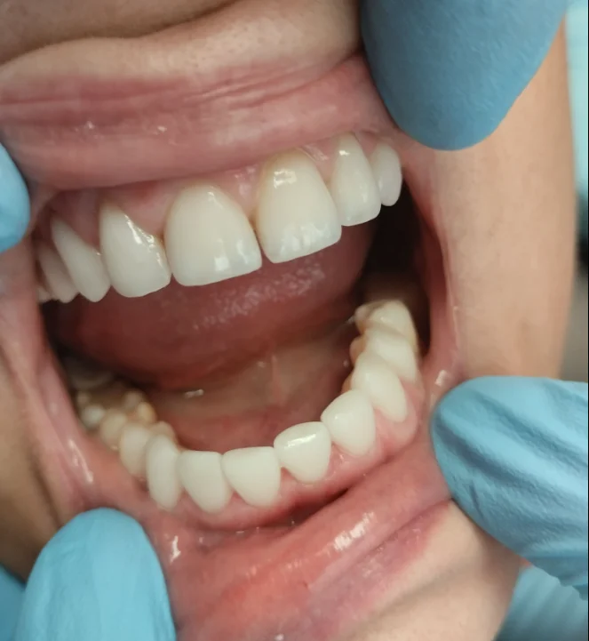
top and bottom teeth after E-max porcelain veneer treatment
Hungary’s reputation begins with the art of crafting radiant smiles. Picture porcelain E-max and zirconium veneers as they reshape chipped and discoloured teeth, fix misalignments, and bring harmony to the size and shape of your pearly whites. It’s like a smile makeover, tailor-made for you.
Hungary’s dental story is all about precision and excellence, backed by the latest technology at affordable rates. The clinics, like skilled storytellers, use state-of-the-art tools to ensure your dental journey is top-notch. Porcelain E-max and zirconium veneers, crafted with meticulous care, promise not just a beautiful smile but a work of art.

Hollywood smile in Budapest – review
One of the most attractive features is the affordability of this kind of veneers. Please, be advised these veneers are not lab made, so you get a pre-made veneer. It will not make you the smile you dream of as no size, shape and colour can be selected. It is not of high quality and long lasting and comes off the teeth frequently so it is not recommended for dental tourism.

Dental veneers in Hungary from US
These are the types of dental veneers for which it is worth flying to Hungary from the USA. US patients find respite in the competitive prices offered by Hungarian clinics, making high-quality cosmetic dentistry accessible without breaking the bank. The cost savings along with qulaity become a compelling reason for many to embark on this transformative journey and have dental veneers in Hungary from US.

porcelaine-E-max-veneers-before-after in Budapest
The Versatility of Veneers: Dental veneers, with their thin layer of porcelain, offer a versatile solution for a myriad of dental imperfections. Whether it’s chipped, discoloured front teeth, misalignments, or irregularities in shape and size, veneers provide a comprehensive remedy. Their transformative magic extends to enhancing the aesthetics of front teeth, making them an ideal choice for a radiant smile makeover. Porcelain E-max and zirconium veneers are perfect tools for a complete smile makeover.

The fantastic result of a smile makeover treatment in Hungary at our clinic dentaltreatment.eu/
Now, the captivating chapter – the cost. Hungary offers competitive prices for dental veneers, making it an affordable adventure for US patients. The savings become a compelling reason to dive into this transformative journey, where your wallet stays as happy as your smile.
Let’s see the details:
A smile-makeover treatment can usually be solved with 16-20 zirconium or E-max porcelain veneers, the cost of this is around 7,000USD which is much more competitive than US prices. The US veneer prices are much higher, such a treatment in the US is minimum aroun 20,000USD, so if you add the flight and accommodation costs, then treatment in Hungary is maximum 50% of the US prices.
You need to spend 10 workdays in Hungary for a complete smile makeover, known as Hollywood smile as well.
The quality is guaranteed as our clinic works with german ISO 9001 qualified materials.
Versatility in Veneers: Our protagonists, porcelain E-max, and zirconium veneers, are versatile heroes. They swoop in to fix chipped front teeth, address misalignments, and erase irregularities in size and shape. Their magic is especially potent when enhancing the aesthetics of your front teeth, giving you that movie-star smile.
Crafting Your Personal Smile: Hungary’s dental artisans take pride in crafting a smile that’s uniquely yours. Each porcelain E-max and zirconium veneer is custom-made to complement your natural teeth, resulting in a seamless integration. It’s not just a cosmetic upgrade; it’s a personalized smile that tells your story.
Perfect Moments for Veneers: Imagine moments when your confidence takes center stage. Whether it’s a chipped tooth from an unexpected mishap or misaligned front teeth that have long bothered you, porcelain E-max, and zirconium veneers shine bright. They’re not just solutions; they’re partners in your journey to confidence and self-discovery.

Teeth before-after Porcelain E-max veneer treatment
If you want to know how much you can save on dental veneers in Hungary from US, feel free to contact us. Send us some good qulaity pics and a panormaic x-ray if available so we can make you an unbeatable quote.



This website is protected by reCAPTCHA, and is subject to the Google Privacy Policy and Terms of Service.
created by Attila Varga