Dental bridges are used to replace one or more missing teeth, restoring chewing function and appearance. For a bridge to work, the teeth next to the gap must be strong and healthy enough to serve as supporting (abutment) teeth.
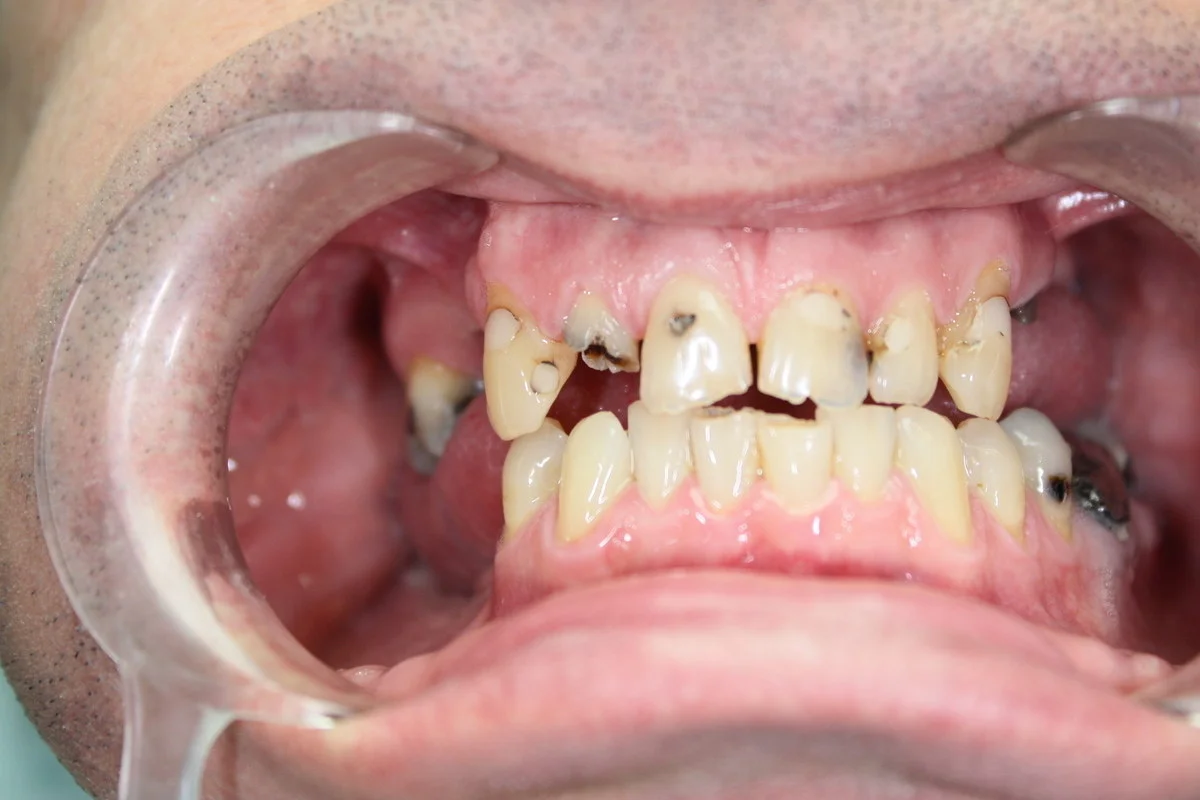
There are a lot of reasons why we lose our teeth. It can be aging, accidents or due to illness. Whatever the reason is, these factors will have a negative impact on your daily lives. You can not enjoy your favorite foods, lose your confident look, your cheerfulness, and your natural smile. if your teeth are restored. In case of missing teeth a dental bridge is available in a short period of time at reasonable costs.
What are the options to choose from when replacing one or more missing teeth?


A bridge can be applied if you have a tooth gap, but the adjacent teeth are healthy. In this case the teeth next to the gap are ground down and serve as pillars for the bridge. It is a 3 item bridge, made of 3 crowns and bridging one tooth gap. Traditional dental bridges can be applied to bigger tooth gaps where two or even three teeth are missing. In this case the bridge can be 4 or 5 items long, but the number of pillars is always two. They are at both ends of the tooth gap and the bridges are fixed to the pillars. It is also possible to have bridges of 6 or more items, but in this case there must be a pillar, that is a tooth in the middle area of the tooth gap.
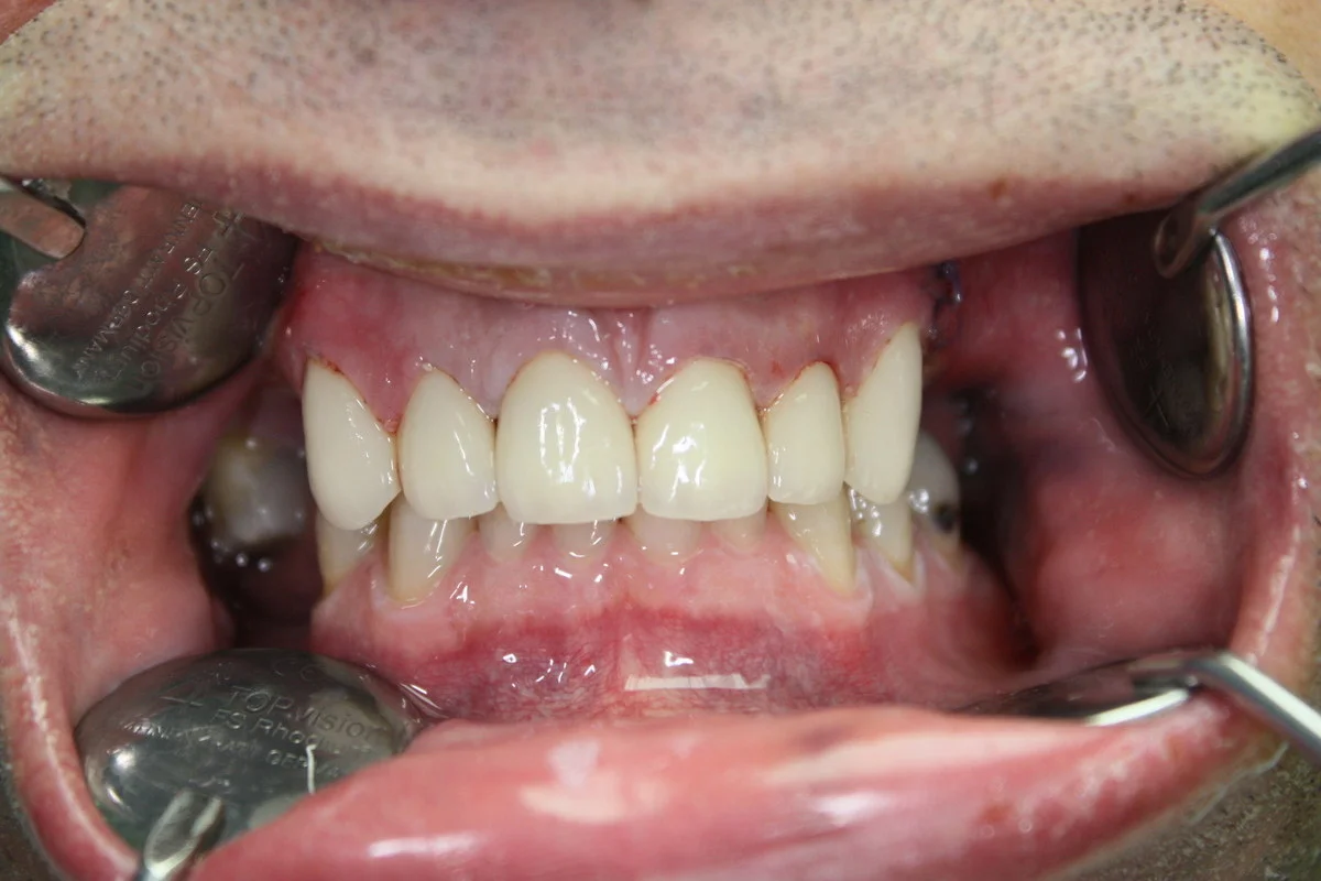
In the case of extensive tooth loss involving several teeth next to each other, our dentists recommend the use of monolithic zirconium or porcelain zirconium bridges to the frontal area. These metal-free bridges are individually made, their colors match the color and shape of your natural teeth. The difference between natural teeth and the bridge units is practically zero, unnoticeable.
If you have teeth loss at the molar region it is highly likely that you will be recommended a bridge of a porcelain fused to metal crowns. It is better for molar teeth because it is more flexible than zirconium and it better stands the load of chewing. It is also an aesthetic solution however not so perfect as zirconium or porcelain but it functions perfect at the molar region. If you want a Hollywood smile makeover it might be possible, that your molar region is also provided with zirconium dental bridges but it takes a thorough medical examination.
Bridges also need proper oral care, proper oral hygiene and regular cleaning and regular 12 months dental checkups just like your real teeth.
A bridge can be applied if you have a tooth gap, but the adjacent teeth are healthy. In this case the teeth next to the gap are ground down and serve as pillars for the bridge. It is a 3 item bridge, made of 3 crowns and bridging one tooth gap. Traditional dental bridges can be applied to bigger tooth gaps where two or even three teeth are missing. In this case the bridge can be 4 or 5 items long, but the number of pillars is always two. They are at both ends of the tooth gap and the bridges are fixed to the pillars. It is also possible to have bridges of 6 or more items, but in this case there must be a pillar, that is a tooth in the middle area of the tooth gap.
In the case of extensive tooth loss involving several teeth next to each other, our dentists recommend the use of monolithic zirconium or porcelain zirconium bridges to the frontal area. These metal-free bridges are individually made, their colors match the color and shape of your natural teeth. The difference between natural teeth and the bridge units is practically zero, unnoticeable.
If you have teeth loss at the molar region it is highly likely that you will be recommended a bridge of a porcelain fused to metal crowns. It is better for molar teeth because it is more flexible than zirconium and it better stands the load of chewing. It is also an aesthetic solution however not so perfect as zirconium or porcelain but it functions perfect at the molar region. If you want a Hollywood smile makeover it might be possible, that your molar region is also provided with zirconium dental bridges but it takes a thorough medical examination.
Bridges also need proper oral care, proper oral hygiene and regular cleaning and regular 12 months dental checkups just like your real teeth.


Conditions when implantation is not possible:
If you opt for a dental bridge on the natural teeth then it an be carried out in one 3-5 day visit to Budapest. When the pillar teeth are prepared then you get temporary crowns to protect the teeth until you get your final bridge.
A traditional dental bridge is a common and conventional method for replacing missing teeth. They are supported at both ends with natural pillar teeth.
A cantilever bridge is a type of dental bridge that is supported on only one side by one or more teeth.
It is typically used when there is only one adjacent tooth next to the space where the missing tooth or teeth are. It is applied for back teeth.
The bridge is anchored to the adjacent tooth or teeth on one side, and the pontic (false tooth) is suspended over the gap.
A Maryland bridge, also known as a resin-bonded bridge or a Maryland-bonded bridge, is a conservative alternative to traditional bridges.
Instead of using crowns on the adjacent teeth for support, a Maryland bridge uses a metal or porcelain framework that is bonded to the back of the adjacent teeth.
The pontic is then attached to the framework and spans the gap left by the missing tooth or teeth.
Maryland bridges are often used in situations where the adjacent teeth are healthy and don’t require significant alteration. It is applied for front teeth. It is not a stable solution it is rather for aesthetics.
In summary, dental bridges serve the purpose of replacing missing teeth, but they differ in the way they are supported and anchored in the mouth. The choice between a traditional, cantilever and a Maryland bridge depends on the specific dental situation and the condition of the adjacent teeth.

This is the most effective, best and most popular procedure for replacing missing teeth. It can be used in places where there is no healthy teeth which could serve as pillars for the bridge. The implant itself makes a stable pillar on both sides of the bridge. It is more stable, durable and less problematic than bridges fixed to natural teeth. Moreover longer teeth gaps can be replaced with implant based solutions.
It is an important rule that a bridge can be either supported by natuaral teeth or implants. It can not be mixed, that is not possible to to have a bridge whic is partly supported by impalants screws and natural teeth. The simple reason is that implants do not move in th emouth but natural teeth do.
According to our dentists and patients the implant based bridges are the most reliable, durable and highest value-for-money solutions in case of more than 1 missing teeth.
If you go for an implant retained or bridge, then it takes two visits to Budapest. In the first 2-3 day visit the dental screws (pillars) are installed and then after the recovery time, which is 3-6 months you can return for the final bridge. To make you the final bridge is between 4-5 work days. In the recovery period you can have a temporary partial denture to restore chewing ability and aesthetics.
The cost of a dental bridge supported supported implants is higher than traditional bridges, just like the lifespan. So, it is a kind of investment in your dental health.
You can read more about crowns, that are the building stones of bridges, here.
You can read more about the pillars of implant based bridges here.
Check out our price list here.
This website is protected by reCAPTCHA, and is subject to the Google Privacy Policy and Terms of Service.
created by Attila Varga