Dental Crowns in Hungary (Budapest)
This is what you can read about on this page:
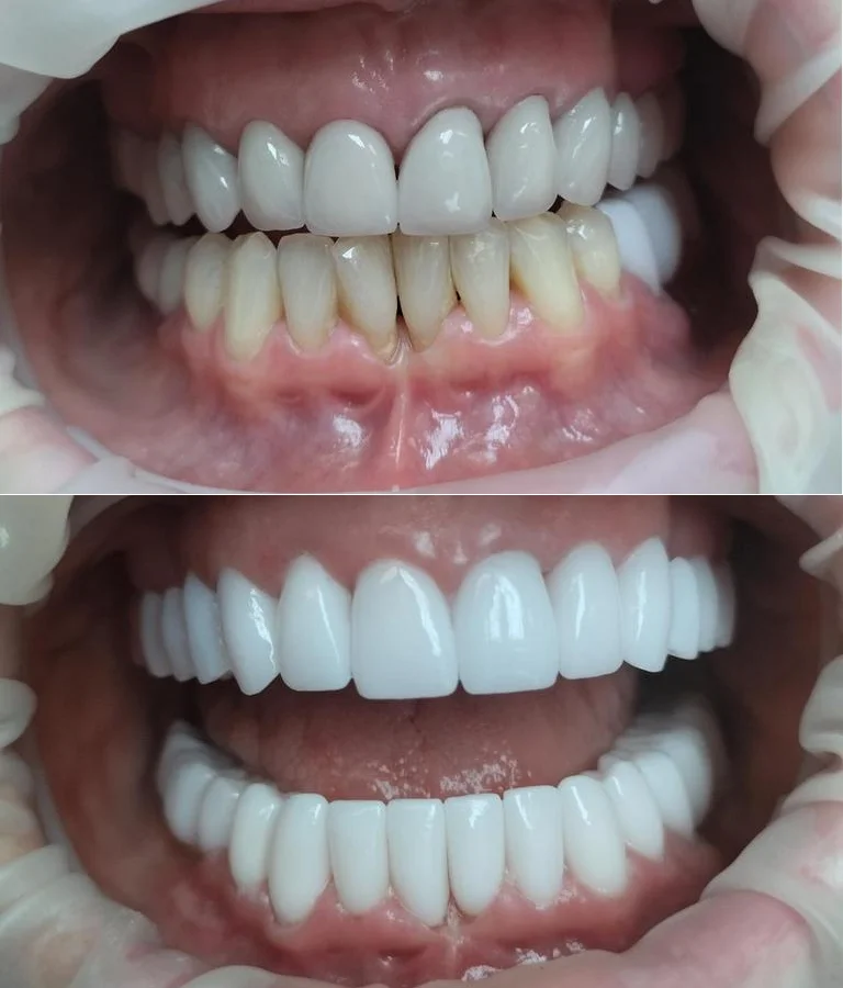
As you age, your teeth age too. Decay, trauma or even just normal chewing habits can make your teeth break down over time. A dental crown or a cap is a cover that is placed over a tooth to protect a weakened tooth from further fracturing or deteriorating or improving aesthetics.
This is what you can read about on this page:
4 types of dental crowns in Hungary at our Budapest clinic
Are you wondering which crown is the most effective solution for you?
Should I choose veneers or crowns for my new smile?
Cosmetic dentistry in Budapest – Crown making step by step
Send us your x-ray for a quote

A tooth cap could also be used to replace a discolored or badly shaped tooth or protect a tooth that has had a root canal.
Lastly, a new crown is necessary to simply replace an old, worn down or defective one
You can have 4 types of dental crowns in Hungary at our Budapest clinic
Porcelain-fused-to-metal (PFM) – dental crowns in Hungary
A pfm version is a durable material where the base is made of metal but the coating is porcelain so it is as white as your teeth. You can have bridges of these types of caps as well with our dentists in Budapest.

Zirconium – dental crowns in Hungary
A zirconia one is made by CAD/CAM technology for perfect look and fitting. This is what mostly used for aesthetic reasons. Zirconia caps are suitable for bridges as well, however they are rather used to the front area. These are metal-free versions and perfect for aesthetic reasons. They can be fitted on natural teeth and teeth implants as well.

Full porcelain E-max – dental crowns in Hungary
Full porcelain (pressed ceramic) caps are the best choice when there are outstanding aesthetic demands, as this material is able to imitate the natural tooth enamel most naturally. It is not used for bridges but rather only for single teeth. The material of the crown is a bit thicker, than in case of zirconium, so a bit more of the tooth material needs to be filed down during preparation. They are metal free but not suitable for dental bridge but they meet the highest aesthtetic and cosmetic demands. It is not recommedned to fit on dental implants either.

Gold crowns
Upon request you can have gold crowns but its price depends on the actual price of gold and the size of tooth needs to be capped.
No matter which type of cap you choose a temporary one will be fitted to protect your prepared tooth and provide normal speech and chew functions until you get the final crown. Check out our price list here.
If you want to make your teeth more aesthetic with crowns, please, send us some good quality pics of your front teeth to this email:smile@dentaltreatment.eu and we will make you a quotation.
Are you wondering which crown is the most effective solution for you?
Are you wondering which type is the most effective solution for you?
Consider factors such as:
• How much money you want to spend on your teeth?
• Which tooth needs to be crowned?
• What is the status of teeth next to the tooth need capping?
• What is your overall oral hygiene?
Be sure to consult your dental practicioner before making a decision, but we try to help you with some advice:
Full porcelain crowns
They are the most beautiful, but also the most expensive and the most delicate ones. They are an excellent solution for frontal teeth with highest quality. However they cannot be used to replace missing teeth since no bridge can be made of them. There is no any metal in it, so if you have any type of metal allergy it can be a perfect choice for you. It is a bit more fragile material than pfm ones so it is not advised to molar area. Crowns must have a bit thicker so more tooth material is removed while the tooth is prepared.
Zirconium crowns
They are bio-compatible and very durable so they are perfect for any teeth either in front or molar region. This type requires the least amount of tooth removal. It is a very hard material, so it works well even in a thinner layer. As it is a hard material, it is possible to make longer bridges out of it. It is less expensive than full porcelain caps, but more expensive than pfm crowns.
PFM crowns
They are a good solution for those who look for a more economical solution than zirconium and full porcelain caps and do not suffer from any metal allergies. The greatest advantage of the this type is its durability, since the nickel-free metal or gold alloy frame can be used for a long time. Thanks to the porcelain coating on the frame, this is aesthetic, however, less natural looking compared to the zircon. This is why it is rather used in the molar region. Due to the metal frame they perfectly fit to a prepared tooth.
‘Smile Makeover in Hungary’ Get your free PDF guide now and start your journey to a beautiful smile!
Gold crowns have the longest lifespan of all types if you maintain a good oral hygiene. Gold crowns have its frame made of gold and there is a porcelain coating on it. It is 100% allergy free and it perfectly fits to a prepared tooth so there is no chance for a cavity at all.
Should I choose veneers or crowns for my new smile?
If you are thinking whether you need porcelain crowns or veneers for your frontal teeth then you obviously want a new smile. It is not so easy to tell you the ideal solution without a medical examination but there are some guidelines that help you.
When it is about caps for front teeth for the perfect look zirconium or porcelain materials are recommended. However the simplest way to make a decision about this issue is to book a free no-obligation consultation at our clinic in Budapest. After consultation you will have a personalized treatment plan and quotation. It includes all the information you need to know about the planned dental work.

Cosmetic dentistry in Budapest – Crown making step by step
It normally takes three – five appointments for your dentist to complete your crowns in Hungary. On your first appointment, your dentist will grind down and prepare the tooth so the cap can properly fit it. Next, an impression of the tooth is taken and a temporary one is placed to protect the prepared tooth. This impression is then sent to a dental laboratory where a custom-fit permanent crown production begins.
On your second appointment, there is a trial to test the edge closures of the cap, which is a critical point for treatment success.
If it is ok, then the next step is to build layer by layer the cap size and shape in the dental lab so it can be tested on your third appointment.
If everything is okay, including edge closure, size, shape, and colour then the lab finalizes the crown and your tooth care provider will proceed with permanently cementing it into place over the 4th appointment. If you need extensive dental treatment like full mouth solutions you will attend the dentistry more times, as the occlusion and bite must be set and it takes a thorough work.
If you need a Hollywood smile or complete smile makeover with 16-20 caps you may need to spend 7-10 working days in Budapest to complete treatment.
If you want to get a free quote, please, send over some good quality pics of your teeth and a panormaic x-ray. It is also an option to book a free consultation in Budapest. You can see before-after images of our quality dental.
You are recommended crowns in the following cases
- Teeth are strongly discolored. Crowns are thicker than veneers and cover the whole tooth.
- If you have bigger fillings in the tooth then it should be replaced with caps for aesthetic reasons.
- If you lost much enamel of your teeth. Crowns can be stuck to any part of the teeth, however veneers can only be stuck to enamel.
- If you already have caps, then it can only be replaced by new ones. But if you have pfm crowns that needs to be changed for better look then you can certainly have porcelain or zirconium ones as a replacement.
- You want to close wider gaps between teeth, then crowns or orthodontics can be the solution.
- Your teeth are strongly misaligned.
- You grind your teeth. When you grind your front teeth are also under pressure so crowns along with a night guard are recommended.
- Your tooth is damaged.
- Your tooth is root canal treated or/and had a post and core build up. It is an important fact, that getting crowns does not mean that you have to have endodontic treatments as well. Our dental specialists always want to avoid endodontic treatment even if crowns are placed.
- The shape or the position of the tooth must be strongly corrected.
- It is good news that veneers and crowns can be combined, however not on the same tooth. It is a known fact that placement of caps is a more invasive intervention than veneers so not many prefer them. Crowns and veneers of the same material can be combined because they are made from the same raw material. That is, if someone has 1-2 root canal treated teeth then these teeth should be crowned, but the adjacent healthy teeth can have veneers and no one will see the difference!
You can read about cases here when you need veneers rather then crowns.
Information on Conservative Tooth Intervention
Preparing Fixed replacements (crown, bridge)
Indication:
Filling: in case of smaller decays
- in case of significantly destroyed tooth,
- in case of replacement of an old crown,
- in case of solving shape and aesthetic irregularity of tooth,
- in case of rebuilding root-treated tooth
Crown, bridge: Teeth are ground off in accordance with relevant regulations (shoulder preparation). The missing part is replaced with a so-called tooth stump building material (glass ionomer), or, in case of root-treated teeth, post and core may be rebuilt with anchoring in canal (carbon/glass fibre post rebuilding). Impression-making is required after the preparation of teeth (see inlay).
In case of bridges of more extension, a separate session of gnathological measuring is necessary for the harmonic occlusal of lower and upper arch.
Dental technique
Dental technique works require approximately 3 days to one week depending on the number teeth need caps. In certain cases, the dental technique term may be reduced upon the request of patient with paying extra charge. Inlay may be made of composite strengthened by glass particles or pressed ceramic.
Crowns and bridges may be made of composite strengthened by glass particles, burned or pressed ceramic, regular metal alloy with ceramic cover, gold alloy (cast or electro gliding technique) with ceramic cover, titanium or zirconia with ceramic cover (CAD-CAM procedure).
The test of frame is carried out during an interim sitting before the ceramic layer. Color and shape of replacement may be checked at an interim sitting and the patient have the possibility to consult the dental technician personally by visiting the dental technicians’ laboratory.
In case of bridges and crowns, a previous wax up model and smile design program aides the treatment.
Materials used (full details in quotation) – teeth crowns in Hungary:
Material:
Metal alloy with covered with porcelain
Gold alloy with covered with porcelain
Nickel-titanium alloy with ceramic cover
Zirconium, aluminium-dioxide with ceramic cover
Temporary treatment
Crown, bridge: In the office a temporary crown or bridge is attached right after the treatment that provides proper chewing and speech function. In case there are several weeks until receiving the final bridges or crowns (e.g. healing term of inflamed gum), we provide the temporary ones made in the dental technicians’ laboratory.
Possible complaints
1. Surface of temporary inlays, bridges or crowns may be raspy or not smooth enough.
2. Tooth may be more sensitive with temporary inlays, bridges or crowns.
3. Gum may be sensitive for a few days subsequent to impression-making.
4. Temporary inlays, bridges or caps may fall off due to overload (consuming hard and sticky food). Tooth cannot be super infected, however, temporary inlays, bridges or crowns shall be reattached to prevent causing damage to teeth. (If tooth causes no complaint and you cannot replace temporary crowns, you should spare the tooth and avoid using it for chewing until following meeting. You can reattach it by using denture glue until the next consultation).
5. Subsequent to treatment, tooth may be sensitive to cold or warm, and its occlusional function decreases. If you have sharp or blunt pain that is throbbing and intensive, it is very likely that you have pulpitis (inflammation or dental pulp mortification) and tooth need to be rootcanal-treated. You shall consult your dentist.
Possible complications
1. When preparing cavity, removing decayed part beneath old tooth restoration and cleaning cavity dental pulp may be exposed. In such cases tooth needs endodontic treatment.
2. In many occasions, the complaint tooth gets inflamed subsequent to treatment. Supposedly, pulp might have been infected and germs living in pulp may cause the inflammation. Endodontic treatment serves as the adequate therapy in these cases.
3. Inlay ruptures due to nocturnal bruxism or dynamic chewing muscle load. In this case the inlay shall be replaced.
Handing over:
Crown and bridge: The color and shape of may be checked upon handing over. In case they are adequate from aesthetic and functional point of view, attaching is performed under local anesthesia. Height correction is performed in this or in further sitting.
Incorporation
Getting used to crowns or bridges may take for weeks, even for months. Height adjustment and correction may be needed several times. Subsequent to attachment, vital teeth may be sensitive to cold and warm and chewing function may decrease, however, it passes after a certain amount of time.
This period of time depends on the individual. Sometimes it takes half a year to cease the symptoms. This may be due to the formation of a so-called tertiary or protective dentine layer around the pulp; this is how your body provides the protection of teeth. Since it may take several months, we kindly ask you to be patient.
However, you shall inform our dentist on all symptoms as the transitory period could treated well by using laser therapy. Shall you encounter intensive pain that does not fade away, contact our dentist.
Warranty
Warranty may be claimed for failure of dentist or problems due to dental technician work. Warranty on inlays, crowns and bridges do not cover new decays or accidents resulting from inadequate oral care.
Term of warranty is 3 years. The condition of warranty is the participation in follow-up examination and in dental hygienic procedure (cleaning, polishing of the teeth) in every 12 months.
Cleaning at home
Tooth care at home includes the proper use of toothbrush and paste, moreover the regular use of inter-dental brush and dental floss. You shall request the opinion of hygienist (dental hygienic consultation) in all cases and clean your teeth obeying his/her advise.

