Dental Travel to Budapest
Double savings in Budapest on dental care
If you are treated in Budapest you save on dental care up to 70%, because dental rates are much lower here than in other western countries.
Plus, after treatment in Budapest you receive reimbursement or tax relief in your country, because Hungary is part of the European Union. It applies to French and Irish patients. In other counties private health insurance companies may provide refund to you after dental treatment in Budapest. Our clinic makes all documents that you need for any kind of reimbursements.
Decision making about dental travel to Budapest
If you made a decision about your dental treatment in Budapest, we try to help you with some pieces of useful information. If you visit our beloved capital for dental treatment you will not only have a brand new smile but you will also have beautiful memories of your dental travel as most patients combine treatment and holiday in Hungary.
If you want to know how much you can save in Budapest on dental costs you can request quotes from our Budapest clinic. If you have a recent panoramic x-ray or a 3D scan, it should be forwarded in email. But if these are not available some good quality pics or a treatment plan – with no prices – from your local dentist will also do for a rough estimation.
Also, please do not forget to inform us about any special diseases like diabetes, hepatitis and allergy or whatever that must be taken into consideration regarding your dental treatment. As each dental problem can be solved in several ways, please, let us know what dental treatment you are after. For example missing teeth can be treated with dental implants or bridges. Based on your information provided you will have one or more treatment plans that make a good basis to make an informed decision about treatment in Budapest and dental travel to Budapest.

Preparation for dental travel to Budapest
If you are happy with our quote, the next step is to prepare for your travel. We tried to collect you the most important arrangements that should be done as early as possible before your travel.
As we have some partner hotels near the clinic we can book your accommodation there a bit below retail rates. But if you are not happy with any of these hotels, then you can book your hotel. Free transport services are provided in between hotel and airport upon arrival and departure independent of the arrival and departure hour of your plane and the fact if you are staying at a partner hotel or not.
- Thanks to low cost airlines Budapest is accessible from any part of Europe in a couple of hours. But there are some patients who still come to Budapest by bus or car to save more on total dental costs.
- There are lots of ways to book cheap accommodation like air-bnb or apartment houses nearby the clinic. If you choose your accommodation, please make sure, that wifi is available so that our staff be in touch with you while in Budapest.
- Also for the same reason, please, make sure, that your mobile phone is capable of receiving calls during your Budapest treatment. It is needed so that we could reach you any time regarding your treatment and appointments.
- Before you leave for Budapest it is advised to check on map how to make it to the clinic from your accommodation and at what phone number you can contact our clinic.
- Please, make sure you have sufficient cash with you or enough funds on your credit card to pay for treatment.
- If you have recent medical reports or blood tests or take medications regularly, please, do not forget to bring them with you.
- And the most important ones are boarding pass for the airplane and ID card or passport if you do not come from the EU.

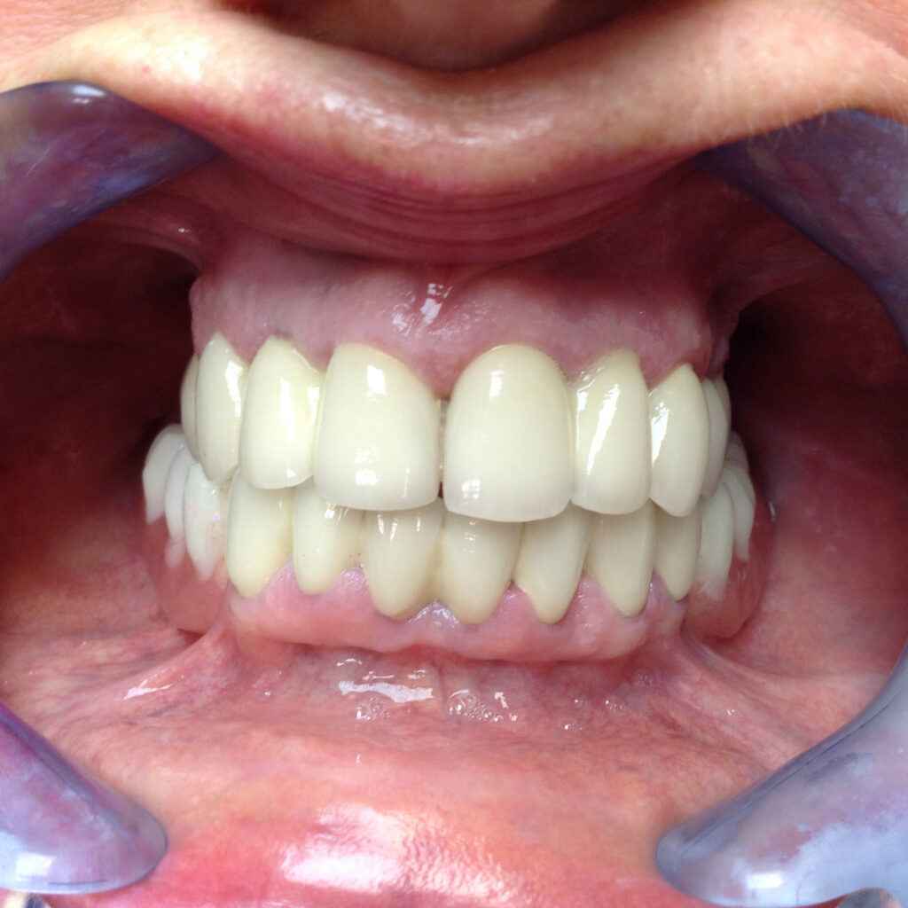
Teeth before-after zirconium crowns
What dental tourists should know about Budapest
If you plan a dental travel to Budapest you can find a lot of websites where you can read a lot about sights worth seeing and visiting. Here we would like to give you some extra information that is useful and makes your stay in Budapest simpler.
Our dental tourism patients usually ask a lot about money and public transport in Budapest.
Hungarian currency is Hungarian Forint (HUF) but you can pay at most places in EUR as well, however the exchange rate is higher as compared to an exchange office. Usually you can pay by cash and credit cards at most places. Prices are much lower in Budapest than in Western Europe, so you will find services, goods and tickets cheap. On average 1EUR is 350-360HUF depending on the daily exchange rate.
Tipping is general in restaurants, hotels and taxi services. Where it is compulsory it is stated, but it is very rare. It is not strange at all to give tips at any place if you receive a service you are satisfied with.
Public transport is very well organized, there are separated lanes for buses, so they are not stuck in traffic jams even in rush hours. There are 4 subway lines, which is the fastest way of travel.
Public transport in Budapest is available from 4.30am until 11.30pm, but night service is also available on the main lines. Our dental clinic is in the heart of Budapest, close to metro lines, trams, buses, so it is easy to make it there from any part of the capital.
For public transport you can use “Budapest card” which is available for multiple periods and it allows you to enter some museums and baths at a discounted rate.
It is advised to try the well known Hop on Hop off tours because they show you very effectively all cultural, historical and panoramic sights of Budapest. They are available for buses and boats, and there is a walking tour too.
As your appointments are provided before your travel, you can plan your free time activity in between treatments. Usually you do not have longer appointments than 1-2.5 hours a day, so you definitely will have time to look around Budapest.
Since dental lab work is always included you will have days free of dental treatments, but these days you may need to visit the 3D scan imaging center or the dental lab to pick the color and shape of your crowns or veneers. Our clinic provides you with free taxi services to these “appointments”, but please, note there is no transfer service for dental appointments to the clinic.
Public transport is very well organized, there are separated lanes for buses, so they are not stuck in traffic jams even in rush hours. There are 4 subway lines, which is the fastest way of travel.
Public transport in Budapest is available from 4.30am until 11.30pm, but night service is also available on the main lines. Our dental clinic is in the city, close to metro lines, trams, buses, so it is easy to make it there from any part of the capital.
For public transport you can use “Budapest card” which is available for multiple periods and it allows you to enter some museums and baths at a discounted rate.
It is advised to try the well known Hop on Hop off tours because they show you very effectively all cultural, historical and panoramic sights of Budapest. They are available for buses and boats, and there is a walking tour too.
As your appointments are provided before your travel, you can plan your free time activity in between treatments. Usually you do not have longer appointments than 1-2.5 hours a day, so you definitely will have time to look around Budapest.
Since dental lab work is always included you will have days free of dental treatments, but these days you may need to visit the 3D scan imaging center or the dental lab to pick the color and shape of your crowns or veneers. Our clinic provides you with free taxi services to these “appointments”, but please, note there is no transfer service for dental appointments to the clinic.
There might be minor modifications in the schedule or an extra appointment is needed while you are in Budapest for treatment but we make sure it is never needed to modify your flight tickets to complete dental treatment.
Some reasons we learned from our patients why foreigners love Budapest
Let us see the main reasons why foreigners are fond of Budapest so much and they return for short visits after their treatment is completed.
- Prices
Most foreigners earn more money than Hungarians. That is why the most expensive coffee, the most expensive lunch or service is not overcharged for them they receive good value for money. So Budapest is a perfect destination as prices are affordable. This is why so many people come for dental treatment to Budapest.
- Sights
Our patients at our clinic say that they have never seen so many historic buildings in a single capital, and the sight of the Danube crossing Budsapest is wonderful too.
- Oldest subway of Europe
We honestly admit that we were a bit surprised that the old metro is such a sight. But if you think about the fact that it has been in service since 1896, it is understandable. Most subway lines in Europe has been operating for a couple of decades.
- Thermal spas
Foreigners like thermal baths in Budapest, as they say, nowhere else in Europe they saw so many wonderful thermal spas as “Széchenyi”, “Rudas”, “Gellért”, “Lukács”and “Király”. Please, consult with your dentist before you visit a thermal spa after treatment. For some treatments like sinus lift, or implantation it is not always recommended to visit spas without a consent from your dentist.
- Partying
Surprisingly, not only young people have highlighted the fact that Budapest offers so many party possibilities. All ages come to Budapest for dental treatment not only elderly people! You can find lots of places for partying around the line of tram no. 4 – 6 and the 7th district.
- Famous dishes
Our patients are crazy about very famous dishes like goulash (gulyas), which exists as a stew and soup. Fish soup (halászlé) and chimney cake (kürtős kalács) are also very popular, so if you want to try Hungarian specialities do not hesitate to go to Hungarian restaurants specialized in traditional Hungarian dishes. After some dental treatments (like extractions or oral surgery) it is advised to only eat pulpy food for a few days. Please, consult your dentist about it.
About Hungary
Hungary is a small country with plenty of sights. So if you get your dental treatment done in Budapest which is more or less in the heart of the country you can visit many places in the course of a one day trip either by train or bus or car. Any part of the country can be reached from Budapest in less than 3 hours even by train or bus.
Festivals
Hungary offers a wide selection of festivals throughout the year but mostly in summer. The most famous summer music festivals are “Balaton Sound” at lake Balaton and “Sziget” in Budapest. For example in village Hollókő, which is part of the world heritage, there is an Easter festival. In Szeged you can take part in an opera and classical music festival in summer time. In Debrecen you can enjoy the famous flower carnival with more than 50 years’ past. Harkány is a world-famous spa town and it is home to Spa festival, which is 25 years old. Harkány is very close to the wine growing region, Villány.


Wine-growing areas
Balaton is not only famous about festivals and the lake itself but it is a very popular wine growing-area. You can visit wine-yards, wine cellars while you are guided by the wine-grower and you can taste wine on the site which are typical on that area. If you wish to visit other famous wine growing areas like Villány (southern part of the country) or Eger (north-east part of the country) you can combine it with city tours or mountain excursions as these wine fields are on the slopes of mountains.
Castles and palaces
If you are a lover of castles or palaces, you can find plenty to visit in Hungary. Most castles and palaces serve as a museum and events centre. You can find pretty many in the country apart from the most famous Buda Castle. Maybe the most attractive one the Festetics Palace is in Keszthely (at the lake of Balaton) which is like a royal palace. In Gödöllő, which is just 30 km from the heart of Budapest you can visit a Royal Palace of Grassalkovich. If you plan to visit Vienna the capital of Austria from Budapest during a weekend, on the way you can visit the Esterházy Castle of Fertőd which is a match to French Versailles castles.
We just wanted to give you a brief overview of sights of Budapest and Hungary to assist you in spending your free time in between treatments. There are certainly many more options and sights worth visiting. As most attractions have English websites you can type any keyword in google that matches your expectations and you will find a great variety of places and attractions you would like to visit.


Let us see the main reasons why foreigners are fond of Budapest so much and they return for short visits after their treatment is completed.