

Are you dreaming of a Hollywood Smile without breaking the bank? Hungary might just be your hidden gem for high-quality and affordable porcelain veneers. Let’s dive into the enticing world of cosmetic dental treatments in Hungary. Why it’s becoming a top choice for savvy individuals seeking a dazzling smile transformation. There may be other open questions to be replied in addition to “How much are veneers in Hungary?”

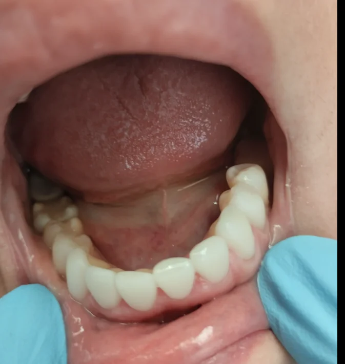
bottom teeth after E-max porcelain veneer treatment
Porcelain veneers cost in Hungary – a pleasant surprise for US dental patients:

Hollywood smile in Budapest – review
Porcelain veneers, stand out as the favored choice for enhancing dental aesthetics. Crafted from porcelain and boasting an average thickness of 0.7 mm. These veneers offer substantial coverage, making them ideal for addressing issues such as pigmentation, chipping, and crowding of the front teeth.
Their thickness necessitates a painless and swift procedure, during which a thin layer of natural teeth is removed. This step ensures a seamless fit, preventing the risk of a bulky smile. Beyond aesthetics, porcelain veneers flaunt durability, with an impressive lifespan of 8 to 15 years, provided proper care and oral hygiene are maintained.
Notably, their compatibility with the CAD/CAM system enables a Hollywood Smile in a matter of 5-10 workdays in Hungary. The length of treatment depends on the number veneers you need to improve your smile.

Teeth before and after dental veneer treatment in Budapest
Hungary, emerging as a sought-after destination for cosmetic dentistry, offers an attractive combination of high-quality treatment and cost-effectiveness. The allure of Hungary’s dental industry lies not only in its picturesque landscapes but also in its remarkably affordable costs.
Similar to payment structures in other countries, veneers in Hungary are priced per tooth. For a comprehensive set of 16 to 20 veneers for both upper and lower jaws, the average cost ranges between $7,000 to $10,000. Individual porcelain veneers are priced between $350 to $400 each. So Hungary is a preferred destination for those US patients who look for a smile makeover treatment. In addition to the competitive pricing you can have additional free services.
In case you ask for a full mouth smile makeover in Hungary with veneers or crowns you will have significant discounts, so for the question like “How much are veneers in Hungay” you will have a more attractive number is US dollars. Also, you will have additional free services for this kind of treatment.
Despite the lower costs, Hungarian dental clinics maintain exceptionally high treatment standards. The pricing in Hungary encompasses a plethora of additional services, including a medical examination and in-person consultation upon arrival, and various amenities such as accommodation, airport reception, private transportation to and from the airport, and even x-ray imaging.
Moreover, select clinics in Hungary boast the cutting-edge CAD/CAM technology, enhancing the precision and expediency of the veneer creation process.
Hungary not only offers an affordable gateway to a stunning smile but elevates the dental experience with a blend of quality, comprehensive services, and modern technology. Beyond the enchanting allure of Budapest’s historic streets, discover a world where your Hollywood Smile is not just a dream but an accessible reality.

Teeth before-after Porcelain E-max veneer treatment
Location Magic: Hungary, with its charming landscapes and cultural richness, provides a unique backdrop for your dental journey. Enjoy the blend of world-class dentistry and a memorable travel experience. Budapest is located in the middle of Europe so lots of big cities can be reached in a couple of hours if you plan on visiting sights in Europe from US.
Services Beyond Dentistry: Hungarian dentists and clinics often go the extra mile, offering services like airport reception, accommodation, transport service, and translation at no additional cost, enhancing your overall experience. But if you speak English you definitely do not need translation as verybody speaks English at the Budapest dental clinics.
Cost-Effective Brilliance: Hungary’s veneers cost significantly less than the USA, allowing you to invest in a stunning smile without compromising quality.
Success Stories in Budapest: Picture yourself strolling through Budapest’s historic streets with a newfound confidence. Many individuals have achieved successful smile transformations in Hungary.

Smile after treatment with Budapest Top DentalCAD/CAM veneers in Hungary – the modern marvel
Embrace Hungary’s dental renaissance
Conclusion – Your smile, Your choice
Hungary awaits, promising not just a new smile but a journey filled with cultural richness and dental excellence. Why settle for less when Hungary offers more for your dental dreams? Contact us, ask for a quote and learn “How much are veneers in Hungary?”.



This website is protected by reCAPTCHA, and is subject to the Google Privacy Policy and Terms of Service.
created by Attila Varga